الدودة
الكبدية – الفاشيولا
Fasciola
Hepatica –liver fluke
من
اهم الامراض المشتركه التى تصيب الحيوان اساسا (الماشيه والاغنام والماعز) وتنتقل
منه لتصيب الانسان عن طريق اكل الخضروات اوالاعشاب الملوثه بالطور المعدى للطفيل. تعيش هذه الديدان في القنوات الصفراوية للكبد لذلك تسمى الديدان الكبدية.تؤثرعلى الانتاج القومى فى مجتمعنا وتكمن خطوره هذا المرض فى عدم ظهور اعراض اكلينيكيه واضحه تمكن من التشخيص السريع
ولعل
اهم مضاعفاتها هى ضعف القدره الانتاجيه فى الانسان وكذلك الحيوان المصاب بها ولذلك
يطلق عليها الامراض التى تؤثر على الانتاج.
ولما كانت الاصابه بالفاشيولا (الدوده الكبديه)
تنتشر فى معظم بلدان العالم حيث اعلنت منظمه الصحه العالميه فى تقريرها لشهر ابريل
عام 1998بان هذا المرض منتشرفى 61دوله فى العالم ويصيب حوالى 2.4 مليون نسمه ويوجد حوالى 180مليون مواطن معرضون
للاصابه به على مستوى العالم
وتسبب
خسائراقتصاديه كبيره فى الثروه الحيوانيه نتيجه لفقدان اللحم واللبن والصوف الناتج
منها ولم تعد هذه الخسائر قاصره على الماشيه المصابه بالدوده الكبديه فقط بل امتدت
الى الانسان واصبحت تهدد صحته.
المسبب المرضي :
هي
إحدي الديدان المفلطحة شعبة المفلطحات طائفة التريماتودا رتبة ثنائية العائل وهي
مثل ورق الشجر مخنثة ويتراوح طولها 3 سم (هيباتيكا) الي 6سم (جيجانتيكا) وعرضها
حوالي 0.8 – 1.5 سم ،
وتثبت نفسه نفسها بممص امامي
يحيط بفتحة الفم في القنوات المرارية في الحيوانات آكلة العشب كالاغنام و الماشيه
والارانب والخيل والحمير بصفتها مستودع ويصاب الانسان مصادفه كعائل نهائي
والارانب والخيل والحمير بصفتها مستودع ويصاب الانسان مصادفه كعائل نهائي
يوجد نوعان من الديدان
الكبدية هما:
فاشيولا هيباتكا Fasciola
hepatica
فاشيولا جايجانتكا Fasciola gigantica
النوعان متشابهان الى حد كبير و لكنهما يختلفان في
بعض الصفات المورفولوجية و التشريحية الدقيقة
فاشيولا جايجانتكا Fasciola gigantica
تشيع فاشيولا جايجانتكا في
اجزاء كثيرة من افريقيا و آسيا، بينما تنتشر ديدان فاشيولا هيباتكا في اوربا و
استراليا.
تسبب خسارة اقتصادية كبيرة في
الماشية و الاغنام تتمثل في:
انخفاض قيمة الحيوانات
المصابة كمصدر للحوم و اللبن.
انخفاض خصوبة هذه الحيوانات.
قلة قدرتها على العمل.
موتها في حالات الاصابة
الشديدة.
الشكل الخارجي
ديدان كبيرة الحجم نسبيا،
طولها 25-75 مم و عرضها 10-15 مم.
الجسم ورقي الشكل مفلطح:
اكثر سمكا في وسط الدودة عنه
على الحواف الخارجية.
ينتهي الطرف الامامي بجزء
مخروطي يسمى المخروط الرأسي head cone.
يتسع عرض الجسم خلف المخروط
الرأسي ليكون ”كتفين“.
النهاية الخلفية مستديرة
توجد فتحة الفم عند الطرف
الامامي للجسم و يحيط بها عضو عضلي كبير هو الممص الفمي.
خلف الممص الفمي يوجد الممص
البطني.
يقع الدهليز التناسلي بين
الممصين الفمي و البطني على الخط الوسطي للجسم.
يوجد الثقب الاخراجي في نهاية الطرف الخلفي للدودة
البنيان
الخلوي
تتكون
طبقة الجسم الخارجية من طبقة سيتوبلازمية من مدمج خلوي يسمى الإهاب:
تتكون هذه الطبقة اساسا من امتدادات سيتوبلازمية
لخلايا مكونة الإهاب الغائرة بين الخلايا البرنشيمية. توجد بالإهاب حويصلات رشف.
الجزء الداخلي من الإهاب غني بالميتوكوندريا التي تنتظم في صفوف متعامدة على السطح
يبرز من طبقة الإهاب عدد من
الشويكات الصغيرة الحادة.
يرتكز الإهاب على غشاء قاعدي
يفصله عن طبقة العضلات الدائرية.
توجد تحت الإهاب ثلاث طبقات
من العضلات الدائرية و الطولية و المائلة و الرأسية.
يمتلئ الحيز بين جدار الجسم و
الاعضاء الداخلية بنسيج البرنشيم
الجهاز
الهضمي :
تؤدي فتحة الفم الى بلعوم
عضلي يشبه القارورة.
يفتح البلعوم في مرئ قصير،
يتفرع الى ردبين معويين يمتدان الى الخلف على جانبي الجسم.
تنشأ من كل ردب فروع جانبية و
فروع وسطية تتفرع جميعها الى فروع اصغر.
الاسطح الداخلية للردوب
المعوية تبطنها خلايا طلائية تقوم بدور افرازي في احدى المراحل و دور امتصاصي في
مرحلة تالية.
التغذيه
تبتلع الدودة خلايا الكبد و
الدم عن طريق الفم.
تهضم هذه المواد في الردوب
المعوية (هضم خارج الخلايا).
تمتص نواتج الهضم و توزع على
اجزاء الجسم الاخرى بواسطة الخلايا البرنشيمية و ربما الجهاز اللمفاوي ايضا.
كذلك يمكن للدودة ان تحصل على
السكريات البسيطة و الاحماض الامينية من بلازما دم العائل مباشرة على هيئة حويصلات
رشف خلال طبقة الإهاب.
الجهاز الاخراجي
للديدان الكبدية جهاز متخصص
لازالة المخافات النيتروجينية الذائبة و الماء الزائد.
يتكون هذا الجهاز من شبكة دقيقة من الانيبيبات
الاخراجية المنتشرة في البرنشيم و تنتهي في الخلايا اللهبية flame cells.
في النهاية تجمع المواد و
الماء في قناة اخراجية رئيسية تفتح بالثقب الاخراجي الى الخارج.
تدفع حركة اسواط الخلايا
اللهبية الماء و المواد الاخراجية الى قنوات اخراجية اولية
تتصل تفرعات العصبين
الجانبيين بشبكة عصبية تمتد في جميع اجزاء الجسم.
لا توجد اعضاء حسية خاصة،
ربما بسبب المعيشة الطفيلية لهذه الديدان.
التنفس
لا توجد بالدودة اعضاء تنفسية
خاصة.
تتنفس لا هوائيا باستخلاص
الطاقة من بعض المواد العضوية بعدة تفاعلات كيميائية بمساعدة انزيمات خاصة
الجهاز التناسلي
للديدان الكبدية جهاز تناسلي
خنثي يشغل حيزا كبيرا من الجسم:
الجهاز التناسلي الذكري:
يشمل خصيتين
متفرعتين
تقع احدهما امام الاخرى في الثلث الاوسط من الجسم
وعائين ناقلين يتحدان ليكونا
وعاء ناقل مشترك يقع في مستوى الممص البطني.
يتصل الوعاء الناقل بالحويصلة
المنوية التي تخزن فيها الحيوانات المنوية.
يخرج منها وعاء دافق ينتهي في
تركيب يسمى الذؤابة او القضيب:
يفتح القضيب في الدهليز
التناسلي بالفتحة التناسلية الذكرية
بالقرب من الثقب التناسلي
الخارجي
يشمل مبيض واحد متفرع امام
الخصيتين على الجانب الايمن.
قناة بيض تخرج من المبيض
لتفتح في مكان اعداد البيض الذي تحيط به غدة مهليس ويفتح به المجرى المحي الوسطي.
التكاثر و دورة الحياة
التلقيح
ذاتي الا انه يمكن ان يحدث تلقيح خلطي الذي يعتقد انه يحدث باحدى طريقتين:
دخول
ذؤابة الدودة الاولى في الفتحة التناسلية الانثوية للدودة الثانية.
دخول
ذؤابة الدودة الاولى في قناة لاورر للدودة الثانية.
تخرج الخلايا البيضية من المبيض على فترات لتصل
الى مكان اعداد البيض و منه الى الكيس المنوي
تفرز
غدة مهليس هرمون يقوم بتنظيم خطوات عملية التكاثر.
يتحرك
البيض في الرحم ليترك الجسم عن طريق الثقب التناسلي الانثوي.
تضع
الدودة حوالي 3000 بيضة باليوم و قد تستمر بذلك لمدة 8-11 عام.
تنتقل
البويضات مع العصارة الصفراوية الى امعاء العائل لتخرج مع البراز الى الخارج.
البيضة
كبيرة الحجم (0.15× 0.08مم)، بيضاوية، القشرة مزودة بغطاء مفلطح، و يحتوي على جنين
عند خروجها.
اذا كانت الظروف مناسبة، يكتمل نمو الجنين خلال
اسبوعين، حيث تفقس البيضة بان ينفتح الغطاء و ينطلق منها طور الميراسيديوم
الميراسيديوم
مهدب ليسبح بالماء, جسمه مخروطي, يعيش في الماء
لفترة لا تتجاوز 48 ساعة باحثا عن القواقع (العائل المتوسط).
العائل
المتوسط لفاشيولا جيجانتكا في مصر هو قوقع ليمنيا كايودي.
عندما
يجد الميراسيديوم القوقع يخترقه بمساعدة الغدد القمية و الثاقبة و حركة الاهداب
خلال 15 دقيقة ليتحول داخله الى الكيس البوغي.
بعد
بضعة ايام يهاجر الكيس البوغي الى الغدة الهضمية للقوقع لتتكاثر الخلايا المنبتة
فيه لا جنسيا لتكون كل خلية منها طور الريديا.
يكون
كل كيس بوغي 8 ريديات تقريبا.
تتكاثر
الخلايا المنبتة داخل الريديا لا جنسيا مكونة الريديات البنوية التي تترك جسم الام
خلال ثقب الولادة.
بعد
فترة تكون الخلايا المنبتة في الريديا الام و الريديات البنوية بالتكاثر اللاجنسي
طور السركاريا.
تترك
السركاريا من جسم الريديا عند اكتمال تكوينها من خلال ثقب الولادة.
تخرج
السركاريا من جسم القوقع الى الماء الخارجي بعد 5-6 اسابيع من اختراق الميراسيديوم
لانسجة القوقع.
ينتج
الميراسيديوم حوالي 600 سركاريا.
تسبح
السركاريا بالماء حتى تلامس النباتات المائية حيث تفقد ذيلها و تفرز الخلايا مولدة
الكيس كيس كيتيني يغلف جسمها فتعرف السركاريا المتكيسة باسم الميتاسركاريا.
ميتاسركاريا
هي الطور المعدي للدودة الكبدية، حيث تبقى السركاريا داخل الكيس حية لعدة شهور.
تحدث
العدوى بالدودة الكبدية عند اغتذاء الحيوانات بنباتات مائية حاملة للميتاسركاريا.
في
العائل النهائي تفقد الميتاسركاريا اكياسها في الاثنىعشر، و تنطلق كديدان صغيرة.
تخترق الديدان الصغيرة جدار الامعاء الى التجويف
البريتوني، ثم لتخترق انسجة الكبد حتى تصل الى القنوات الصفراوية حيث تستقر و تنمو
الى ديدان بالغة خلال 10 اسابيع
تتمثل
ظاهرة تعاقب الاجيال في دورة حياة فاشيولا، فهي تشتمل على:
3 اجيال لا جنسية هي الكيس البوغي، الريديا و
الريديا البنوية.
جيل
جنسي هو الطور البالغ
تعتبر الميراسيديوم و السركاريا اطوار يرقية
دور الجهاز المناعى فى
المقاومة
الجهاز المناعى هو جهاز داخل جسم الكائنات الحية ويتكون من مجموعة من الخلايا التى يتم التنسيق والعمل بينها بشفرات خاصة ينتج عنها إنتاج أجسام مناعية تستطيع ان تقلل او تمنع الإصابة بهذه الديدان. ولكن تفاعل هذا الجهاز ضد الديدان الكبدية يختلف من حيوان الى حيوان فمثلا:
الجهاز المناعى هو جهاز داخل جسم الكائنات الحية ويتكون من مجموعة من الخلايا التى يتم التنسيق والعمل بينها بشفرات خاصة ينتج عنها إنتاج أجسام مناعية تستطيع ان تقلل او تمنع الإصابة بهذه الديدان. ولكن تفاعل هذا الجهاز ضد الديدان الكبدية يختلف من حيوان الى حيوان فمثلا:
الأغنام
يكون
التفاعل حاد وسريع مما ينتج من ذلك تضخم واضح فى الكبد وخصوصا فى الفص الأيمن دون
حدوث تليفات واضحة
وقد يؤدى هذا التفاعل الى القضاء على الحيوان (أى موت الحيوان) لأن هذا التفاعل يكون مصاحب بكمية كبيرة من المواد المماثلة للهستامين فتؤدى إلى إحداث نوع من فرط التحسس الحاد (النوع الأول) وهو غالباً ما يؤدى الى إحداث نزيف داخلى مع تجمع كميات من الدم فى تجويف البطن ويكون مميت للحيوان.
وقد يؤدى هذا التفاعل الى القضاء على الحيوان (أى موت الحيوان) لأن هذا التفاعل يكون مصاحب بكمية كبيرة من المواد المماثلة للهستامين فتؤدى إلى إحداث نوع من فرط التحسس الحاد (النوع الأول) وهو غالباً ما يؤدى الى إحداث نزيف داخلى مع تجمع كميات من الدم فى تجويف البطن ويكون مميت للحيوان.
الأبقار
يكون التفاعل تدريجياً عن طريق تكوين نوع من
الأجسام المناعية IgGالتى تتحدد مع
انتيجينات الطفيل من ناحية و من الناحية الأخرى مع الخلايا المناعية التى تستطيع
بدورها أن تلتهم الطور النامى للطفيل ولذلك يكون الشكل العام للكبد هو تضخم طفيف
فى بعض أجزاء الكبد مع إحداث تليفات طفيفة نوعاً ما مقارنة بما يحدث فى الجاموس.
الجاموس
يكون التفاعل عن طريق تكوين نسيج ليفى فى الجزء
المصاب مما ينتج عنه تليف واضح فى النسيج الكبدى وخاصةً حول القنوات المرارية
الأعراض
أ- اعراض الاصابة الحادة :
تحدث الاصابة الحادة بالديدان الكبدية عادة فى الاغنام
وهى عبارة عن نفوق مفاجىء دون سابق أعراض منذرة
وفى بعض الحالات يسبق النفوق ظهور أعراض فقر الدم و فقدان الشهية مع كسل واضح۰
وينتج هذا الشكل المرضى من ابتلاع اعداد كبيرة من الميتاسركاريا المتكيسة (اكثر من خمسمائة) مرة واحدة ومايتبعها من هجرة اعداد كبيرة من الديدان الصغيرة فى انسجة الكبد
فيؤدى الى تهتكها مع نزيف داخلى و نفوق سريع وقد يلاحظ فى هذه الحالة الآم فى منطقة البطن
ب- اعراض الاصابة المزمنة:
تحدث الاصابة المزمنة بالديدان الكبدية فى الاغنام، الابقار، الجاموس، الخيول، الابل و ايضاالانسان.
١- تظهر علامات اليرقان على الحيوانوهى ظهور اللون الأصفر على الأغشية المخاطية
٢- يكون هناك إسهال مائى بدون رائحة بالتبادل مع إمساك فى بعض الحيوانات.
۳- تغير فى شهية الحيوان غالباًتكون بالنقصان مع هزال واضح.
٤- سقوط كميات من الصوف أو الشعر بسهولة.
۵- ظهور ورم أسفل الذقن فى بعض الحيوانات وتعرف هذه الحالة بالفك القنيني.
العلاقة بين العائل و
الطفيلي
تأثير
الطفيلي على العائل المتوسط:
قلة
عمر القواقع المصابة مقارنة بعمر القواقع السليمة.
انخفاض
قدرة القواقع المصابة على التكاثر.
تأثير
الطفيلي على العائل النهائي:
النزيف
الموضعي نتيجة تمزق الانسجة خلال هجرة الديدان الصغيرة من الامعاء الى الكبد.
تفاعلات
نسيجية مرضية نتيجة وجود الديدان و بيضها في الكبد، تؤدي الى تليف انسجة الكبد
بالتدريج.
انسداد
القنوات الصفراوية نتيجة وجود اعداد كبيرة من الديدان، و ذلك يسبب مرض اليرقان او
الصفراء.
ظهور اعراض فقر الدم على الحيوان المصاب نتيجة
تأثير المواد الاخراجية السامة على مراكز انتاج كريات الدم الحمراء في جسم العائل
التشخيص
هناك بعض الفحوص
المعملية لتأكيد وجود المرض مثل :
1ـ صورة الدم
وسرعة الترسيب . 2ـ فحص البراز . 3ـ فحص سائل الأثنى عشر . 4ـ الاختبارات المصلية
. 5ـ الموجات فوق الصوتية . 6ـ أشعة بالصبغة للقنوات المرارية . 7ـ الأشعة
المقطعية .
1ـ صورة الدم
وسرعة الترسيب
فى معظم الحالات
الحادة نجد زيادة كبيرة قد تصل الى 000و30 فى خلايا الدم البيضاء ويكون معظم تلك
الخلايا من الخلايا الحمضية ايزينوفيل وقد
تصل نسبتها الى أكثر من 60% والعدد الطبيعى لخلايا الأيزينوفيل بالدم أقل من 500
خلية فى كل مليمتر مكعب. ويقل عدد الخلايا تدريجيا بعد العلاج كذلك فى الحالات
المزمنة , وتظهر صورة الدم فى مرض الدودة الكبديه فقر دم متوسط او بسيط وزيادة فى
سرعة الترسيب .
2- الاختبارات
المصلية هدفها البحث عن الأجسام المضادة للدودة الكبديه وتكون ايجابيه قبل ظهر
البويضات بالبراز . ومنها عدة طرق مثل الاليزا والتلزن الدموى الغير مباشر وتصبح أيجابيه بعد أسبوعين لأربعة
أسابيع بعد الإصابة .
3- الفحص
بالموجات فوق الصوتية: قد يكون اول ما يدل
على الإصابة بالدودة الكبدية حيث يمكن مشاهدة الدودة تتحرك داخل الحويصلة المرارية
– وقد تشاهد بؤر متعددة بالكبد او بالقنوات المرارية وكذلك زيادة حجم الكبد.
4- تشخيص
الديدان الكبدية بفحص البراز: يكون الفحص سلبيا حتى يكتمل نمو الدودة و تعتبر
طريقة المصافي المتعاقبة من أدق و أسرع الطرق المستخدمة فى هذا المجال
According to Welch et. al. (1878) Fluke finder Mosque”"
غير أنة يمكن تشخيصها باستخدام
مخبار سعة لتر بعد تمرير عينة البراز من
أدق مصفى مناسبة مع تكرار هذا على أن يتم التخلص من عمود الماء الزائد كل خمس
دقائق ثم يتم فحص الراسب بعد إضافة صبغة المثيلين الأزرق إلية حيث تظهر بويضات الفشيولا
لها الون الذهبي اللامع.
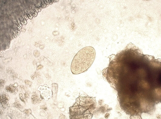
تحليل
البراز ووجود البويضات التي شكلها بيضاوى ابعادها 150-130 طولا و90-60 ميكرون عرضا
ولها غطاء صفراء ذهبية وتحتوي علي خلية بيضية تقع في الوسط ومحاطة بخلايا
محية وقشرة البويضة شفافة- ويمكن وجود عدوي كاذبة من اكل كبد به دودة ولذلك يفضل
بعد التشخيص اعادة الفحص بعد اسبوع مع امتناع المريض عن تناول الكبد وقد توجد عدوي
كاذبة ايضا من تلوث البراز بحشرة القراض اللين التي تضع عديد من البويضات التي
تشبه بويضات الفاشيولا الشفافة ،
بواسطةفحص أنسجةالكبد للحيوان
النافق:
يتم تقطيع الكبد الى رقائق ثم يتم غمسها فى ماء دافى لمدة ساعتين . الماء الدافى يجمع و يتم عمل ترسيب تركيزى بالطرد المركزى و يتم فحص الراسب للتأكد من وجود الديدان الكبدية الغير كاملة.
يتم تقطيع الكبد الى رقائق ثم يتم غمسها فى ماء دافى لمدة ساعتين . الماء الدافى يجمع و يتم عمل ترسيب تركيزى بالطرد المركزى و يتم فحص الراسب للتأكد من وجود الديدان الكبدية الغير كاملة.
الحيوان النافق او المذبوح :
- استسقاء
- تليف و صغر حجم الكبد
- انتفاخ القنوات المرارية
- وجود الديدان الورقية فى الكبد و القنوات المرارية
- استسقاء
- تليف و صغر حجم الكبد
- انتفاخ القنوات المرارية
- وجود الديدان الورقية فى الكبد و القنوات المرارية
مكافحة المرض على مستوى الحيوانات
1.
فحص دورى شامل للحيوانات باستخدام الطرق
الحديثة والسريعة.
2.
منع نقل الحيوانات خارج بؤر العدوى إلا بعد
فحصها واثبات خلوها من المرض .
3.
القضاء على بعض العوائل الثانوية مثل جرذان
الحقل والأرانب البرية .
4.
توفير مياه أمنه لشراب الحيوانات الحقلية .
5.
العلاج الدورى للحيوانات 3مرات سنويا أو مرتين
على الاقل فى شهرى مايو و اغسطس تبعا للعقار المستعمل ومنها .
ـ كاربون تتراكلوريد
ـ فاسكول سوبر ـ هكسا كلورفـين ـ بيثـونــول ـ هكسا كلوراثيان ـ بيلفون 4ـ هتول ـ البينــدازول ـ
اوكسيلوزانيد ـ نيكلــوفولان
وتؤثر هذه الأدوية
على الدودة البالغة عمر 10 أسابيع وتوجد أدوية أحدث مثل
1ـ كليوكسانيد 2ـ نيتروكسانيل (تؤثر على الدودة عمر
8أسابيع ) 3ـ بروتيانيد
4ـ رافوكسانيد ( تؤثر
على الدودة عمر 6 أسابيع ) 5ـ الفاسينكس ( تريكلابندازول ). ويؤثر على الدودة
البالغة وجميع الأطوار غير البالغة وهذا العقار هو أحدثها وأكثرها تأثيرا .
وقاية الإنسان من الإصابة بالمرض :
1ـ توفير المياه
النقية للشرب وعدم الاعتماد على الأنهار والترع لشرب الإنسان .
2ـ معالجة مياه الشرب
بالطرق المناسبة .
3ـ إعطاء المعلومات اللازمة للوقاية مثل طرق
العدوى وأنسب الطرق لتظيف الخضراوات و تنقية مياه الشرب والامتناع عن تناول
الخضراوات او المياه الملوثة بأجهزة الأعلام .
4ـ غسل الخضراوات
جيدا وخصوصا التى تؤكل طازجة.
5ـ يمكن نقع
الخضراوات التى يصعب تنظيفها فى ماء مضاف اليه خل لمدة 5دقائق 5, 1 فنجان خل 5كوب ماء) حيث يعمل الوسط الحمضى على
إذابة الطبقة الصمغية اللاصقة.
7ـ ينصح باستعمال برمنجنات البوتاسيوم مع ماء
النقع بتركيز يكفى لجعل الماء بنفسيجيا لمدة 10 ـ 15 دقيقه وهذا يكفى لقتل
الحويصلات الملتصقة بالخضراوات .
8ـ يلاحظ أن عدوى
الإنسان لا تحدث من تناول كبد الحيوان المصاب ولا تنتقل العدوى من إنسان الى آخر



















